
Якісного лікування на території, підконтрольній проросійським терористам, хворим надати не можуть: ліків немає, медперсонал розбігся.
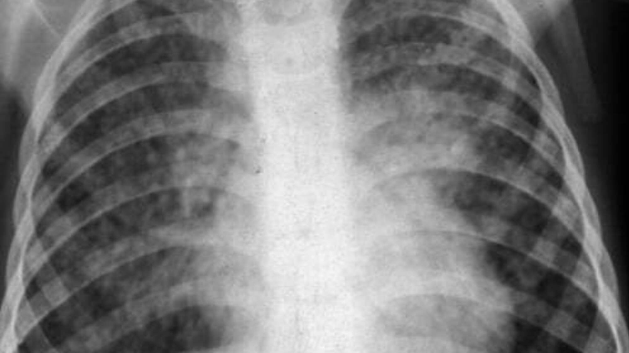
На окупованих територіях Луганської області може спалахнути епідемія туберкульозу. Кількість пацієнтів тубдиспансерів з кожним роком збільшується в середньому на 5 відсотків. У першому півріччі 2017 року зростання смертності від даного захворювання збільшився на чверть, передає "Рубежное.соm."
Медики повідомляють, що серед хворих переважають люди працездатного віку, а 80 відсотків усіх випадків – це туберкульоз легенів. Якісне лікування хворим на окупованих територіях Луганщини забезпечити не можливо – лікувати нікому і нічим.
В "республіці" гостра нестача медичних працівників, ліків теж не вистачає. В "ЛНР" давно припинила працювати всеукраїнська програма по боротьбі з цією смертельно-небезпечною недугою.
Видання повідомляє, що армія бойовиків довідок від фтизіатра або флюорографії не вимагає – хворі часто потрапляють до лав так званої "народної міліції республіки" і є джерелом зараження для оточуючих, ще здорових, вояків.






